יום שלישי, 29 במאי 2012

מי הראשון שמצא תאי עצב חדשים במוח בוגר?


זהו סיפור הרקע למהפכה המדעית אשר החלה עוד בשנות השישים של המאה הקודמת ובמהלכה התגלה כי קיימים תאי עצב חדשים אפילו במוח של בוגר.

Journal of Comp. Neurol. 1965 Altman & Das
בשנת 1962 פרסם ג'וזף אלטמן מאמר בו תיאר באמצעות תמונות מיקרוסקופ, תאים מהמוח הבוגר אשר מבטאים מאפיינים של תאי עצב בנוסף למאפיינים של תאים מתחלקים => בדרך כלל במדע צירוף של שני מאפיינים אלו בתא אחד מעיד על כך שהתא הוא תא עצב חדש. אלטמן ושותפיו טענו במאמרם כי זו עדות לקיומם של תאים חדשים במוח של מבוגר ואכן כל מי שמכיר את מראם של תאי עצב בהיפוקמפוס מזהה בקלות את התאים הללו כתאי עצב ולא תאים אחרים הנמצאים במוח כמו אסטרוציטים, מיקרוגליה ואחרים. אולם, לאחר התלהבות ראשונית בקהילה המדעית סבל אלטמן מהתעלמות ודחייה על ידי מדענים מתחרים. רק בשנות השמונים והתשעים כבר אי אפשר היה להתעלם מהממצאים של אלטמן, שכן התפרסמו מאמרים שהשתמשו בשיטות מתקדמות כדי להוכיח את קיומם של תאים חדשים במוח (נוירוגנזה) של עופות, חולדות, ואף בני אדם. הצדק הפיוטי הגיע כאשר פורסם מאמר על ידי היריב רב ההשפעה – פסקו רקיש – אשר במשך שנים נלחם כדי להגן על הדוֹגמה הגורסת שאין נוירוגנזה במוח הבוגר – במאמרו הוא הראה נוירוגנזה במוח של קופים. הסיבה לדחיקת אלטמן כמדען מוביל ולשמירה על הדוֹגמה המוטעית טמונה לא רק בתחרות על פרסומים ומימון, אלא גם בנסיבות המדעיות – עד שנות השמונים לא הצליחו לחזור על התוצאות של אלטמן. אחת הסיבות היא פשוטה: רק מעטים ניסו, יתכן שלא רצו לאתגר את הדוֹגמה בה תמכו המדענים בעלי ההשפעה. סיבה נוספת יכולה להיות שהשיטות שהיו קיימות לפני שנות התשעים כדי להוכיח שתאים מסוימים הם גם תאי עצב וגם תאים המתחלקים ומתרבים במבוגר, היו קשות מאד לביצוע.
לקריאה נוספת אפשר להציץ באתר של ג'וזף אלטמן ורעייתו שירלי באייר.

כשהתחלתי את הפוסט דוקטורט השלב הראשון כמובן היה ללמוד את הנושא החדש לי ובו התחלתי לחקור, "נוירוגנזה במוח של בוגר". בעיקר התעניינתי האם ניתן לרתום את התהליך הפיזיולוגי של יצירת תאי גזע במוח לטובת מוח הסובל מניוון עצבי. קראתי את המאמרים המרגשים והחדשים דאז (2000) וגם את הציטוטים והביבליוגרפיה שלהם - כך מצאתי את המאמר של ג'וזף אלטמן. סיפור הדחיקה שלו מהקונסנזוס המדעי זעזע אותי מאד. 12 שנה אחר כך בכיתה בתיכון למדעים סיפרתי על נוירוגנזה לתלמידים ואחת מהתלמידות הרימה את ידה ואמרה שקרוב משפחה שלה גילה את זה לפני עשרות שנים. הסתבר שהתלמידה היא קרובת משפחה של אלטמן ושמעה ממנו על הטרגדיה המקצועית בה היה מעורב. 


סיפור המחקר שגאל את המחקר על תאי עצב חדשים במוח.

מה דעתך על "התהליך המדעי" אחרי שקראת על אלטמן?

אולי בעצם צריך לשאול, מדוע לספר על לידת תאים חדשים במוח לתלמידים?

מה דעתך?



סיפור חקר: לרוץ אל המוח



הנרייט ואן-פראג, חגגה יחד עם חבריה לצוות המחקר כאשר פורסם המאמר החדש שלהם. הממצאים שתוארו במאמר הפריכו תיאוריה שהייתה מקובלת במשך עשרות השנים של חקר המוח. בעבר, האמינו כי המוח מתפתח בתקופת ההיריון והילדות ובמוח הבוגר לא נוצרים יותר תאי מוח חדשים
. אך החוקרים שחגגו בחדר הישיבות, זה עתה פרסמו מאמר בו הוצגו תמונות של תאי עצב חדשים שנוצרו במוח בוגר וצולמו דרך מיקרוסקופ חדשני. החברים החלו בסבב של 'סיפורי גבורה' על הרגע בו עלה הרעיון כיצד לזהות את התאים החדשים, כיצד הם למדו להפעיל את הטכנולוגיה הנדרשת לביצוע הבדיקה, ועבדו בלילות כדי לקבל תור במיקרוסקופ המשוכלל.
לאחר זמן מה נרגעו החוקרים וחשבו כל אחד לעצמו, לאן הולכים מכאן. הם התחילו "לגלגל" את הרעיונות ביניהם. ראסטי אמר: "מעניין באיזה תפקיד משמשים תאי העצב החדשים שנוצרים – הרי אנחנו מוצאים אותם רק באזור ההיפוקמפוס, הקשור לזיכרון". תיאו אמר שאותו הכי מעניין לבדוק אם התופעה מתרחשת גם בבני אדם, שכן הם הראו אותה בחיות ניסוי. לבסוף, הנרייט אמרה:"הכיוון שמעסיק אותי הוא לחפש כיצד ניתן להגביר את יצירת התאים החדשים במוח – שכן אולי נוכל להשתמש בידע הזה בטיפול במקרים של פגיעה במוח?".
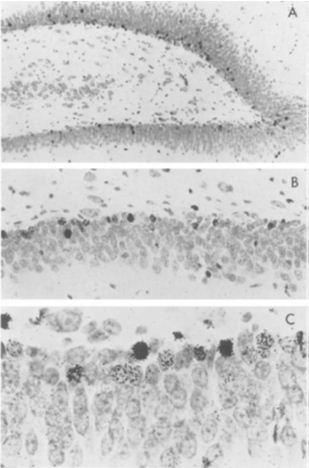
חודש לאחר מכן הייתה הנרייט כבר עסוקה בניסויים שבדקו האם פעילות גופנית משפיעה על יצירת תאי עצב חדשים. השערת המחקר של הנרייט הייתה שפעילות גופנית גורמת לגדילה במספרם של תאי העצב החדשים. הנרייט החליטה לבדוק זאת בעכברים משום ששמה לב שכאשר היא מכניסה גלגל ריצה לכלוב, העכברים רצים עליו זמן רב. ללא הגלגל בכלוב, העכברים היו פחות פעילים. כדי לזהות את התאים החדשים במוח, הנרייט תכננה להזריק לעכברים צבע מיוחד שנצמד אך ורק לתאים שזה עתה נולדו (זהו סמן לתאים חדשים). הנרייט הרכיבה 4 קבוצות ניסוי שכללו 8 עכברים בכל קבוצה. כל הכלובים הוחזקו באותו החדר, וקיבלו את אותו האוכל. אל כלוביהם של עכברי הקבוצה הראשונה הנרייט הכניסה גלגל ריצה ואילו אל כלובי העכברים מהקבוצה השנייה לא הוכנס גלגל הריצה. כל העכברים טופלו בסמן התאים החדשים במשך 12 ימי הניסוי הראשונים. יום לאחר הפסקת הטיפול הוקרבו החיות בשתיים מארבעת קבוצות העכברים, אחת הייתה עם גלגל ריצה והשנייה ללא גלגל. שתי קבוצות העכברים הנותרות המשיכו את "טיפול" הריצה/ללא ריצה עוד 4 שבועות, ללא מתן נוסף של סמן. לאחר שהוכנו החתכים ממוחותיהם של העכברים, בדקו החוקרים את מספר התאים החדשים. הם צילמו דרך המיקרוסקופ, תמונות של חתכי מוח הצבועים בסמן לתאים חדשים (תמונה 1) וספרו את מספר התאים החדשים בכל אחד מהמוחות. את התוצאות שאספו הם רשמו בטבלה (טבלה 1). הממצאים נכתבו במאמר ולאחר שנבדקו על ידי מספר מומחים בתחום, פורסמו בעיתון המדעי Nature Neuroscience. 

תמונה 1:
תאים חדשים שנוצרו במוחם של העכברים (יום 1)
מתמונה 2 במאמר של הנרייטה ושותפיה למחקר



טבלה 1: מספר התאים החדשים במוח העכברים עם ובלי פעילות גופנית.

מספר התאים החדשים
פעילות גופנית
ללא פעילות גופנית
יום 1 לאחר הפסקת מתן הסמן
6773
4393
4 שבועות לאחר הפסקת מתן הסמן
3791
1880





שאלות להבנה ולחשיבה:
1.      מהי שאלת המחקר?
2.      זהו את המשתנים בניסוי - כיצד שינו החוקרים את המשתנה המשפיע וכיצד בדקו את המשתנה המושפע (תלוי)? 
3.      מהו המשתנה התלוי? כיצד בדקו אותו החוקרים?
4.      מה הייתה קבוצת הביקורת בניסוי, ואילו תנאים נשמרו קבועים בניסוי?
5.      מדוע נבדק מספר התאים החדשים לאחר 4 שבועות?
6.      מדוע קבוצות הניסוי הכילו מספר עכברים ולא רק עכבר אחד?
7.  הצג/י את תוצאות הניסוי בצורה גרפית, באיזה גרף תבחר/י – קו רציף או גרף עמודות?


על הרקע למהפכה המדעית בתחום - בבלוג זה.
הנרייט עונה על שאלות בקישור של ה-PBS

הסיפור והשאלות לתלמידים

יום שלישי, 15 במאי 2012

כלים לחקר בנושא מחלת אלצהיימר

"מחלת אלצהיימר (באנגלית: Alzheimer’s disease או AD) היא מחלת מוח ניוונית. במחלה זו מתרחשת דמנציה (התדרדרות במצב הקוגניטיבי), המתחילה לרוב באבדן זיכרון וכלה באובדן הכושר לבצע פעולות יומיומיות פשוטות ובטיפול עצמי. המחלה הדרגתית והתקדמותה אטית יחסית למחלות אחרות, וחולים בה בעיקר קשישים מעל גיל 65 אך לא רק- אצל חולי אלצהיימר עם גורמים גנטיים המחלה מופיעה כבר מגיל 40. אלו הם שני הסוגים של המחלה: אלצהיימר ספורדי (של הגיל המאוחר) ואלצהיימר תורשתי". 


כדי לקרוא עוד, היכנסו ליומן הלמידה של שחר ותמצאו את תוצאות החקר שעשתה בשאלות הבאות: 

אוסף מקורות על מחלת אלצהיימר (בעברית):

1.  "לעצור את מחלת אלצהיימר" מאת מייקל ס' וולף, סיינטיפיק אמריקן ישראל. 2006
2. "לעכב את ירידת המסך" מאת גארי סטיקס, סיינטיפיק אמריקן ישראל. 2010
3. לא בדיוק אבל קרוב:  "ניוון עצבי - המוח הסכרתי" מאת מלינדה ונר, סיינטיפיק אמריקן ישראל. 2008
4. המאמר "גורמי סיכון לדמנציה ומחלת אלצהיימר והטיפול בהם" מאת ד"ר זאב מינר, מרפאה נוירוגריאטריה, הדסה הר הצופים, ירושלים. 2011
5. לרמות ולרפא את מחלת אלצהיימר. מאת מרית סלווין, "ערוץ המדע" - אוניברסיטת בר אילן ו"הארץ" , 2011. המאמר עוסק במעורבות של מאקרופגים בהתמודדות עם העלמילואידים במחלה ומתאר את העבודה הנעשית במעבדתו של דר' שי רהימיפור. 
6. זיכרון גורלי – אז איך נאבחן אלצהיימר?  מאת מרית סלווין "ערוץ המדע" אוניברסיטת בר אילן ו"הארץ" , 2012.
7. הרצאה "מחלת אלצהיימר: סיכונים וסיכויים". פרופסור דני מייכלסון מאוניברסיטת תל אביב.





ובאנגלית:


1. ארגון הבריאות האמריקאי, המכון הלאומי למחקר על הזדקנות. מחלת אלצהיימר.
2. WebMD על מחלת אלצהיימר.
3. Alzheimer's Association
4. על מחלת אלצהיימר מהספר clinical medicine באתר health-7.
5. על מחלת אלצהיימר מ- Mayo Clinic
6. ADNI, Alzheimer's disease neuroimaging initiative - מרכז לחקר מחלת אלצהיימר.
מיועד לעקוב באמצעות סריקות מוח אחר התפתחות המחלה ולפתח שיטות לאבחון מוקדם.  בפרויקט משתתפות עשרות אוניברסיטאות בארה"ב ומאות נבדקים בריאים בני 55 ומעלה.
7. מחלת אלצהיימר וקפה (Carolina Scientific blog)
8. האם מחלת אלצהיימר מתחילה למעשה בכבד? (Diabetologica - a personal blog on diabetes)


יום רביעי, 9 במאי 2012

על הזיכרון - חולה HM


הנרי  מולייסון גדל בקונטיקט, ארה"ב והיה בחור נחמד וחכם. הוא אהב להחליק על הקרח ולפתור חידות ותעלומות שהושמעו בתכניות רדיו. ביום הולדתו ה-16, הנרי לקה בהתקף האפילפסיה הראשון שלו (גראנד מאל) במהלך טיול לעיר הגדולה אליו יצא עם עם הוריו לכבוד יום הולדתו. מאז ההתקפים המשתקים הגיעו בתדירות הולכת ועולה, עד למצב שבו סבל משבעה התקפים בשבוע. כשבגר הוא לא הצליח להחזיק עבודה יציבה, והסיכויים שלו לחיים עצמאיים היו קלושים.
בשנים אלו, 1953, לא היו טיפולים יעילים נגד אפלפסיה, והמשפחה פנתה לנוירולוג, דר' וויליאם סקוביל אשר פיתח ניתוח ניסיוני בחולי אפילפסיה. הרעיון היה פשוט. ההתקפים, כפי שהסביר סקוביל נכון, נגרמים על ידי דחפים חשמליים לא מבוקרים המתחילים במוקד, מקום ספציפי במוח ומתפשטים אל שאר המוח. הנרי נבדק באמצעות רושם גלי המוח EEG, אלקטרו-אנצפלוגרם, מכשיר אשר קולט פעילות חשמלית הקרובה אל פני השטח של המוח על ידי חיישנים שמניחים על הראש. הנרי לקה בסוג הנפוץ ביותר של המחלה, אפילפסיה של האונה הצדעית (רקתית) – temporal lobe epilepsy, ובדיקת ה-EEG העידה על קיומם של שני מוקדים להתקפים, רקמה באונה הצדעית של המוח משני הצדדים.
הניתוח: לאחר לבטים רבים החליטו הנרי ומשפחתו לעבור את הניתוח להסרת הרקמות בהן מתחילים התקפי האפילפסיה ודר' סקוביל הסיר חלק משמעותי מהאונות הצדעיות של הנרי משמאל ומימין – החליטו כך משום שהיו שני מוקדים.  וכך הנרי איבד חלק ממוחו אשר כולל מבנים בשם היפוקמפוס, אמיגדלה, וחלקים מקליפת המוח המצפה את ההיפוקמפוס והאמיגדלה: perirhinal, entorhinal.
בתוך זמן קצר התברר כי הניתוח פגע בזיכרון של HM , כחולה הנחקר ביותר כונה הנרי בספרות המדעית - patient HM. הנרי איבד את יכולתו ללמוד דברים חדשים – בדרך כלל אך לא תמיד: למשל הוא יכול היה ללמוד לצייר דברים מסוימים או לעשות דברים מסוימים, אבל הוא לא יכול היה ללמוד שמות, חדשים, פנים חדשות, מקומות, תאריכים, עובדות. הוא הפך לאדם החי בהווה קצר.


בזיכרון קדימה, החולה HM זוכר דברים מסוימים, אך אינו שומר בזכרונו פרטים אחרים (כמתואר לעיל), מה מאפיין את סוגי הזכרונות שהחולה HM זוכר לעומת אלו שאינו זוכר?

צפו בסרטון החדשות חדשות CBS (2 דק')   או  בסרטון של NOVA  PBS (בן 10 דק').

הנרי איבד כמעט שני שליש מההיפוקמפוס שלו, החריץ הפרה-היפוקמפלי והאמיגדלה. אחרי הניתוח הוא סבל מאבדן זיכרון:
1.      שכחה קדימה (anterograde amnesia) – הוא לא יכול היה להעביר אירועים חדשים לזיכרון לטווח ארוך למרות שזיכרון העבודה והזיכרון הפרוצדוראלי לא נפגעו
2.      שכחה אחורה (retrograde amnesia) – לא זכר את רוב האירועים במהלך 3 הימים לפני הניתוח וחלק מהאירועים שהתרחשו עד ל-11 שנים לפני הניתוח, כלומר היה מדרג בזמנים.
3.      הוא יכול היה ליצור זיכרון פרוצדוראלי לטווח ארוך – למשל הצליח ללמוד כישורים מוטורים למרות שלא זכר שלמד אותם.
4.      הוא זכר את שמו, את שמות הוריו, הוא המשיך לדעת לדבר ולקרוא.

באלו סוגים של זיכרון אתם מבחינים?
  • זיכרון לטווח קצר וזיכרון לטווח ארוך
  • זיכרון לסוגי מידע שונים: עובדות, מיומנויות, סדר זמנים של אירועים
  • זיכרון שמודעים אליו וזיכרון שלא מודעים אליו

הבשלת זיכרון או גיבוש (consolidation) הוא התהליך של הפיכת זיכרון לטווח קצר לזיכרון ארוך טווח והוא מורכב משלושה שלבים:

1.      קידוד או הצפנה (encoding) – ובו מידע סביבתי מתורגם ליחידה מוחשית במוח. למשל פנים מגלי אור, או צלילים מגלי קול.
2.      אחסון (storage) – כאשר המידע נשמר לאורך זמן.
3.      שליפה (retrieval) – כאשר הקלט מוחזר מן האחסון בעת שאדם נזקק לו. מעל גיל 40 עולה הקושי בשליפה.

כנראה ששלבים שונים בזיכרון מתווכים על ידי מבנים שונים במוח. סריקת PET מראה פעילות מוגברת בהמיספרה השמאלית בשלב הקידוד ובימנית בזמן השליפה.
·         
מידע באחסון לטווח הקצר יתפוגג ויישכח לאחר כ-20 שניות. ניתן למנוע התפוגגות של מידע אם משננים אותו (rehearsal). זיכרון עבודה מאחסן מידע לשניות ספורות, זיכרון לטווח ארוך מאחסן מידע לדקות עד שנים.
כנראה שזיכרון העבודה קשור לעבודת ה- prefrontal cortex.

בלמידה אנחנו בין השאר מעוניינים לעודד העברה של זיכרון לטווח קצר לזיכרון לטווח ארוך.
אבל אנחנו לא מעוניינים רק בזיכרון, במה עוד אנו מעוניינים כאשר אנו לומדים?
ידע מעמיק, הבנה, הנאה, יצירתיות, חשיבה, יכולת התמקדות (לא תמיד הולכת עם יצירתיות...)

צפו בסרטון על קשב וספרו כמה פעמים מוסרים בעלי החולצות הלבנות את הכדור.

באלו סוגים של זיכרון אתם מבחינים?
·         זיכרון לטווח קצר וזיכרון לטווח ארוך
·         זיכרון לסוגי מידע שונים: עובדות, מיומנויות, סדר זמנים של אירועים
·         זיכרון שמודעים אליו וזיכרון שלא מודעים אליו: 

סוגי זיכרון
o       זיכרון הצהרתי (declerative) הוא זיכרון ארוך טווח אליו אנחנו מודעים ובדרך כלל ניתן להביעו במפורש, במילים.
§         ידע סמנטי: זהו זיכרון של עובדות, למשל ידע כללי,. בדרך כלל יודעים את העובדות הללו בלי לזכור כיצד למדנו אותן.
§         ידע אירועי (אפיזודי):  כולל רישום ספציפי של זמן ומקום ונסיבות ותחושות. זיכרון אירועי או אוטוביוגרפים כולל זכירה של מקור הידע.
o       זיכרון תיפעולי (פרוצדוראלי) זהו זיכרון ללא רשומה, או זיכרון סמוי. זיכרון זה כולל הרגלים, רפלקסים מותנים שנרכשו במהלך החיים, ומיומנויות ביצוע כמו רכיבה על אופניים ושחייה.

HM לקה בשיכחון (amnesia)HM לקה בשיכחון קדימה, כלומר חוסר יכולת ללמוד דברים חדשים ולשמור אותם בזיכרון. השיכחון קדימה אצל HM מתמקד בידע הצהרתי. שכן הוא הצליח לרכוש מיומנויות חדשות ולשפר ביצועים בעקבות תרגול אבל לא זכר כיצד למד זאת. אולם הוא לא למד להכיר פנים ושמות חדשים ולא הצליח ללמוד להכיר מקומות חדשים. איבוד הזיכרון לאחור, שיכחון לאחור, היה משמעותי אך חלקי. HM אבד זיכרונות או ידע שלמד מזמן הניתוח ושלוש שנים לאחור. לעומת זאת זיכרונות לגבי אירועים קודמים יותר, דברים שאירעו בילדותו ובנעוריו היה תקין. הזיכרונות האחרונים שנחרתו היו הראשונים להימחק.

חולה נוסף, VJ, אצלו נפגע ההיפוקמפוס עקב היפוקסיה (מחסור בחמצן). ההיפוקמפוס רגיש במיוחד להיפוקסיה – מחסור בחמצן וגם להרעלת CO (פחמן חד חמצני). חולה VT סבל מנזק להיפוקמפוס אך לא לקורטקס הסמוך. הוא למד לקרוא כראוי והצליח בבדיקות ידע כללי – כלומר שמר על זיכרון סמנטי. אבל סבל מפגיעה בזיכרון אפיזודי, בעיקר בשליפה (recall) אך לא נפגע ביכולת הזיהוי (recognition) – "האם ראיתי את התמונה הזו אי פעם".
לפיכך הסיקו החוקרים כי ההיפוקמפוס נחוץ לשליפה והקורטקס הסמוך לו חשוב לזיהוי. כאשר ביקשו שיתאר אירועים מעברו, לא הצליח עד שלא נתנו לו רמזים. למרות שהנזק חלק בזמן הלידע, VJ לא הצליח לפצות על אובדן ההיפוקמפוס.



במחלת אלצהיימר. אובדת יכולת הזיכרון לטווח קצר וחלה הידרדרות קוגניטיבית. המוח של החולה הראשונה שנתגלתה הכיל פלאק וסיבוכים של סיבי חלבון בנוירונים קורטיקליים, וזה מאפיין את המחלה. השכיחות עולה אחרי גיל 65, והסיכון עולה עם הגיל. מאמינים כיום כי ההיפוקמפוס של חולי אלצהיימר מתנוון מהר יותר מאשר של המזדקנים באופן נורמאלי, ושהפלאק והסיבוכים מתקהלים באזור טמפורלי מידיאלי. גודל ההיפוקמפוס משתנה עם התקדמות המחלה ואנשים עם היפוקמפוס עבה יותר מפתחים דמנציה פחות קשה. חוקר בשם מוסקוביץ' הדגים כי רוב הניוון באונה מידיאלית טמפורלית באלצהיימר קשור לגירעונות שלהם בזיכרון אפיזודי. בנוסף יש אובדן של תאי אצטיל כולין שמחוברים להיפוקמפוס ולקורטקס פרה פרונטאלי. הקישוריות הלא מתפקדת בין ההיפוקמפוס ל- prefrontal cortex עקב אבדן אצטיל כולין משחק תפקיד חשוב באובדן היכולת ליצור זיכרונות אפיזודיים חדשים אצל אלצהיימר.



קצת על מבנה המוח:
המודל המשולש (המודל הטריוני של מקלין):
מוח תלת מימדי: http://www.g2conline.org/